The Japan Times - Médicos australianos hallan por primera vez una lombriz parásita en el cerebro de una mujer

EUR -
AED 4.334666
AFN 77.900095
ALL 96.685479
AMD 448.694275
ANG 2.112836
AOA 1082.337912
ARS 1713.79929
AUD 1.694419
AWG 2.124545
AZN 2.005766
BAM 1.954033
BBD 2.387541
BDT 144.978905
BGN 1.982165
BHD 0.445065
BIF 3526.345066
BMD 1.180303
BND 1.506906
BOB 8.220567
BRL 6.210516
BSD 1.185428
BTN 108.401979
BWP 15.613589
BYN 3.394331
BYR 23133.933487
BZD 2.384044
CAD 1.613958
CDF 2543.552008
CHF 0.918972
CLF 0.025872
CLP 1021.553077
CNY 8.198976
CNH 8.187477
COP 4263.253457
CRC 588.626555
CUC 1.180303
CUP 31.278022
CVE 110.165385
CZK 24.3032
DJF 211.089126
DKK 7.468307
DOP 74.930651
DZD 153.353162
EGP 55.572902
ERN 17.704541
ETB 184.925926
FJD 2.604456
FKP 0.861331
GBP 0.863167
GEL 3.180899
GGP 0.861331
GHS 12.998247
GIP 0.861331
GMD 86.741709
GNF 10409.789325
GTQ 9.095775
GYD 248.005745
HKD 9.219445
HNL 31.316093
HRK 7.535293
HTG 155.479942
HUF 380.936215
IDR 19803.119186
ILS 3.65993
IMP 0.861331
INR 106.529816
IQD 1552.889245
IRR 49720.252642
ISK 145.200468
JEP 0.861331
JMD 186.265181
JOD 0.836862
JPY 183.585472
KES 152.908055
KGS 103.218032
KHR 4776.383798
KMF 493.366547
KPW 1062.272456
KRW 1712.289129
KWD 0.36253
KYD 0.987803
KZT 598.623775
LAK 25492.948383
LBP 106151.713903
LKR 367.086512
LRD 219.891167
LSL 18.978739
LTL 3.485127
LVL 0.713953
LYD 7.489228
MAD 10.809925
MDL 20.068853
MGA 5290.183051
MKD 61.644021
MMK 2478.619753
MNT 4207.336901
MOP 9.536237
MRU 47.107923
MUR 53.880544
MVR 18.235445
MWK 2056.982346
MXN 20.515491
MYR 4.657524
MZN 75.244069
NAD 18.978899
NGN 1653.65118
NIO 43.654368
NOK 11.443584
NPR 173.578342
NZD 1.962897
OMR 0.453826
PAB 1.185428
PEN 3.99259
PGK 5.083409
PHP 69.496818
PKR 332.067813
PLN 4.221913
PYG 7881.872934
QAR 4.333382
RON 5.095842
RSD 117.441308
RUB 90.236055
RWF 1734.368902
SAR 4.426205
SBD 9.510999
SCR 17.774333
SDG 709.949829
SEK 10.564636
SGD 1.500655
SHP 0.885533
SLE 28.88796
SLL 24750.357209
SOS 678.009658
SRD 44.881036
STD 24429.883467
STN 24.497151
SVC 10.372577
SYP 13053.646429
SZL 18.983988
THB 37.181532
TJS 11.071589
TMT 4.142863
TND 3.420008
TOP 2.841885
TRY 51.318734
TTD 8.025811
TWD 37.254961
TZS 3054.718851
UAH 51.08951
UGX 4234.171314
USD 1.180303
UYU 45.988416
UZS 14491.89592
VES 436.466011
VND 30683.149741
VUV 140.640991
WST 3.199542
XAF 655.875164
XAG 0.014374
XAU 0.000247
XCD 3.189827
XCG 2.136359
XDR 0.815674
XOF 655.364397
XPF 119.331742
YER 281.354641
ZAR 18.912758
ZMK 10624.131341
ZMW 23.262965
ZWL 380.056997
Médicos australianos hallan por primera vez una lombriz parásita en el cerebro de una mujer
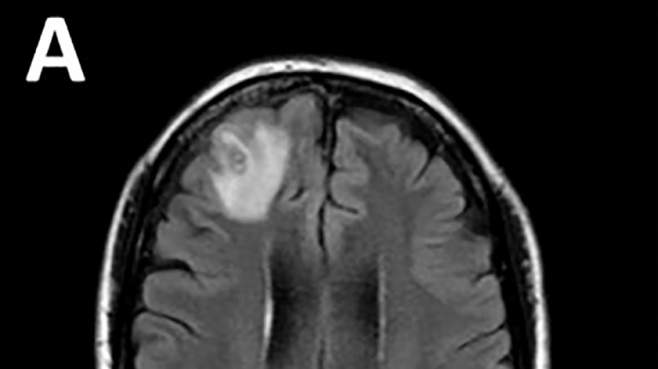
Médicos australianos hallan por primera vez una lombriz parásita en el cerebro de una mujer / Foto: Handout - Universidad Nacional Australiana/AFP

Médicos australianos hallan por primera vez una lombriz parásita en el cerebro de una mujer

Una lombriz parásita usualmente encontrada en serpientes fue retirada "viva y coleando" del cerebro de una mujer, algo que no se había visto en los registros médicos, informaron el martes médicos australianos.

Tamaño del texto:

Desconcertados, los médicos realizaron una resonancia magnética a una mujer australiana de 64 años después de que comenzara a sufrir lapsos de memoria y notaron una "lesión atípica" en el frente de su cerebro.

Era una lombriz de ocho centímetros llamada Ophidascaris robertsi, que según investigadores son parásitos comunes en canguros y pitones diamantina pero no en humanos.

"Este es el primer caso humano de una Ophidascaris en el mundo", afirmó el experto en enfermedades infecciosas Sanjaya Senanayake.

"Hasta donde sabemos, es también la primera vez que aparece en el cerebro de una especie de mamífero, humano o no", agregó.

Los investigadores creen que la mujer se infectó después de buscar arbustos comestibles cerca de su casa que podrían haber estado contaminados con larvas parasitarias diseminadas en las heces de las serpientes.

"Nunca es fácil o deseable ser el primer paciente del mundo para nada", indicó Senanayake.

"No puedo enfatizar más nuestra admiración por esta mujer que ha mostrado paciencia y coraje en el proceso", agregó.

El caso fue publicado en el diario Emerging Infectious Diseases y Senanayake anticipó que podrían detectarse más casos en otros países.

Y.Kato--JT