Destacados
Últimas noticias
YouTube acelera lucha contra desinformación médica pero no convence a los expertos
Un video asegura que el ajo cura el cáncer, otro que la vitamina C puede sustituir la radioterapia: estos peligrosos "consejos" de salud ya no tendrán cabida en YouTube, según ha prometido la plataforma, aunque los especialistas en desinformación se muestran escépticos y denuncian una falta de transparencia.
El regulador europeo aprueba una nueva vacuna anti covid adaptada de Pfizer
La Agencia Europea de Medicamentos (EMA) aprobó el miércoles una versión adaptada de la vacuna anti-Covid de Pfizer y BioNTech para enfrentar la infección por medio de una subvariante muy difundida del virus en invierno.
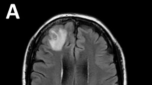
Médicos australianos hallan por primera vez una lombriz parásita en el cerebro de una mujer
Una lombriz parásita usualmente encontrada en serpientes fue retirada "viva y coleando" del cerebro de una mujer, algo que no se había visto en los registros médicos, informaron el martes médicos australianos.
Sube a 11 el balance de muertos en Polonia por legionela
El balance por una epidemia de legionelosis en la ciudad de Rzeszow, en el sureste de Polonia, subió a once víctimas mortales, anunciaron el lunes las autoridades sanitarias.
Corea del Norte reabre fronteras para sus nacionales tras cierre por covid
Corea del Norte dio un paso más hacia el levantamiento de su estricto aislamiento por el covid-19, al permitir que sus nacionales en el exterior regresen al país, informó el domingo la prensa estatal.
Polémica en EEUU sobre el peso real de Donald Trump
¿Donald Trump pesa realmente 98 kg, como lo afirma su expediente penal, difundido por las autoridades de Atlanta? Numerosos estadounidenses se lo preguntan este viernes, un día después que el expresidente se negara a ser pesado en la comisaría donde estuvo brevemente detenido.
Siete muertos por legionelosis y 76 personas contaminadas en Polonia
Una epidemia de legionelosis en Rzeszów, sureste de Polonia, causó la muerte de siete personas y otras 76 siguen estando contaminadas, anunciaron este viernes las autoridades sanitarias polacas.
Frenar ascensos militares por el aborto puede dar malas señales, dice un general de EEUU
El retraso en la aprobación de cientos de nombramientos de altos cargos militares estadounidenses debido a un enfrentamiento sobre el aborto puede dar una señal errónea de inestabilidad en las fuerzas armadas del país, dijo el jueves a la AFP el general Mark Milley.
El boom de la cerveza sin alcohol en Alemania
Toda la diversión del Oktoberfest pero sin la resaca. Cada vez más alemanes se pasan a la cerveza sin alcohol, seducidos por sus ventajas para la salud y la calidad creciente de las opciones disponibles.
Una nueva era de polución atmosférica nace del auge de los incendios forestales
Desde Quebec a la Columbia Británica, pasando por Hawái, Norteamérica se enfrenta a una extraordinaria temporada de incendios forestales, con regiones cercanas y algunas también lejanas cada vez más afectadas por la exposición al humo.
El expresidente Bolsonaro es internado en Sao Paulo para unos exámenes de rutina
El expresidente brasileño Jair Bolsonaro fue internado este miércoles en una clínica privada de Sao Paulo para realizarse "exámenes de rutina" vinculados a las consecuencias de la puñalada que sufrió en 2018, según confirmó su abogado, Fabio Wajngarten.
Una nueva era de polución atmosférica ha nacido del auge de los incendios forestales
Desde Quebec a la Columbia Británica, pasando por Hawái, Norteamérica se enfrenta a una extraordinaria temporada de incendios forestales, con regiones cercanas y algunas también lejanas cada vez más afectadas por la exposición al humo.
Evacuados de Canadá vuelven a casa mientras el clima más fresco calma los incendios
El clima más fresco favoreció el martes las tareas de extinción de los incendios forestales que asolan el oeste de Canadá, lo que permitió que algunos evacuados regresaran a sus casas, una situación contraria a otras zonas del país, donde las llamas siguen avanzando.
Cambio climático crea condiciones que alimentaron ola de incendios en Canadá, según estudio
El cambio climático causado por el hombre hizo que aumentara al menos siete veces la probabilidad de que se generen las condiciones meteorológicas que propiciaron el récord de "incendios" registrados en Canadá en 2023, según un análisis científico publicado el martes.
"Hay cosas que no tienen reemplazo": un hogar arrasado por incendios en Canadá
La familia MacKay mal empacó cuando un voraz incendio forestal se aproximaba a su vecindario en el sur de Canadá y fue obligada a evacuar. Pensaban que volverían a casa pronto, hasta que una cámara en la cocina comenzó a enviar alertas.
El calvario de los "biopolímeros" en tratamientos estéticos en Venezuela
María Sánchez camina despacio por su casa con dos bolsas de drenaje que cuelgan de su cintura y la herida de una operación de reconstrucción, que siguió a otra para extraer biopolímeros que le inyectaron hace una década en Venezuela para aumentar sus glúteos.
Más de 2 millones de niños en Níger necesitan ayuda humanitaria
Más de dos millones de niños necesitan "ayuda humanitaria" en Níger, país desestabilizado por un reciente golpe de Estado y minado por la violencia yihadista, afirmó el lunes el Fondo de las Naciones Unidas para la Infancia (Unicef) en un comunicado.
La OMS y EEUU vigilan de cerca una nueva variante del virus del covid-19
La Organización Mundial de la Salud (OMS) y las autoridades sanitarias de Estados Unidos anunciaron el viernes que vigilan de cerca una nueva variante del virus del covid-19, denominada BA.2.86, aunque de momento se desconoce su potencial impacto.
La moda 'plus size' avanza rompiendo prejuicios en Brasil
La brasileña Amanda Momente posa con soltura ante la cámara, ataviada con un mono negro ajustado de la marca 'plus size' que creó a falta de opciones para vestirse y hoy forma parte de un negocio creciente en su país.
Alemania adopta proyecto de ley para legalizar el cannabis de uso recreativo
El gobierno alemán adoptó el miércoles un proyecto de ley con miras a la legalización de cannabis para consumo recreativo.
Tribunal de EEUU impone limitaciones a uso de píldora abortiva mifepristona
Una corte federal de apelaciones estadounidense impuso el miércoles limitaciones al uso de una píldora abortiva ampliamente comercializada en el país, pero su fallo quedó en suspenso mientras la Corte Suprema decide si atiende el caso.
Alemania aprueba un proyecto de ley sobre la legalización del cannabis para uso recreativo
El gobierno alemán adoptó el miércoles un proyecto de ley con miras a la legalización de cannabis para consumo recreativo.
La sociedad gestora de los Agnelli adquiere el 15% de Philips
El fabricante de electrodomésticos Philips anunció este lunes que la sociedad gestora Exor, que pertenece a la familia italiana Agnelli, se hizo con el 15% de sus acciones, en una operación valorada en 2.600 millones de euros (unos 2.830 millones de dólares).
Casos de covid aumentaron 80% en todo el mundo, aunque la mortalidad bajó
Los casos de covid-19 detectados a nivel mundial aumentaron un 80% en el último mes, aunque la mortalidad bajó un 57%, según datos de la Organización Mundial de la Salud (OMS) publicados este viernes.
Los casos de covid aumentaron un 80% en todo el mundo, aunque la mortalidad bajó
Los casos de covid-19 detectados a nivel mundial aumentaron un 80% en el último mes, aunque la mortalidad bajó un 57%, según datos de la Organización Mundial de la Salud (OMS) publicados este viernes.
Ante la canícula, la importancia de saber cuánto calor puede soportar el ser humano
Ante los récords de temperatura en todo el mundo es imprescindible anticipar los límites de calor y humedad que puede soportar el cuerpo humano.
Desvían a Francia un ferri que zarpó de España debido a una intoxicación alimentaria
Un barco de la compañía Brittany Ferries, que zarpó de Santander (norte de España) rumbo a Plymouth (sur de Inglaterra), fue desviado a Brest (oeste de Francia) por una intoxicación alimentaria entre la tripulación, anunciaron el martes las autoridades.
"Regresaré cuando esté lista", dice Bella Hadid tras lucha contra enfermedad de Lyme
La supermodelo Bella Hadid, ausente de varios de los grandes eventos del mundo de la moda este año, compartió en sus redes sociales detalles sobre su lucha de años contra la enfermedad de Lyme y descartó una inmediata vuelta a las pasarelas.
En Haití, la violencia de las pandillas agrava la desnutrición infantil
Es comienzos de agosto y no paran de llegar niños desnutridos al Hospital de Fontaine en Cité Soleil, el barrio marginal más grande de Puerto Príncipe, controlado por pandillas.
La Inteligencia Artificial podría ayudar a detectar el cáncer de mama
Un programa de Inteligencia Artificial (IA) parece capaz de reducir la carga de trabajo de los radiólogos en la detección del cáncer de mama, según los primeros datos de un estudio publicado el miércoles, aunque es demasiado pronto para concluir sobre su eficacia.
Lula anuncia que se operará de la cadera
El presidente de Brasil, Luiz Inácio Lula da Silva, anunció este martes que planea someterse a una operación de cadera en los "próximos meses" para acabar con un dolor constante que lo pone, dijo, "malhumorado".
Netanyahu se encuentra bien tras cirugía previa a un voto crucial en Israel
El primer ministro israelí, Benjamin Netanyahu, dijo que se encuentra "muy bien" tras someterse a una cirugía para implantarle un marcapasos este domingo, en la víspera de un voto en el parlamento sobre una controvertida reforma judicial que ha sacado a decenas de miles de manifestantes a las calles.