The Japan Times - Un ver qui parasite les serpents découvert dans le cerveau d'une Australienne

EUR -
AED 4.256969
AFN 73.026624
ALL 95.949668
AMD 436.29849
ANG 2.074968
AOA 1062.937298
ARS 1612.956254
AUD 1.648622
AWG 2.089361
AZN 1.97515
BAM 1.955793
BBD 2.330592
BDT 141.989509
BGN 1.981339
BHD 0.437098
BIF 3425.188147
BMD 1.159146
BND 1.479895
BOB 7.995972
BRL 6.159011
BSD 1.157196
BTN 108.180626
BWP 15.778945
BYN 3.510788
BYR 22719.261378
BZD 2.327292
CAD 1.591102
CDF 2637.057544
CHF 0.913917
CLF 0.027244
CLP 1075.745893
CNY 7.982348
CNH 8.005172
COP 4253.385281
CRC 540.49813
CUC 1.159146
CUP 30.717369
CVE 110.264618
CZK 24.515015
DJF 206.059287
DKK 7.48519
DOP 68.689762
DZD 153.294785
EGP 59.995792
ERN 17.38719
ETB 182.369469
FJD 2.566871
FKP 0.868888
GBP 0.86899
GEL 3.147128
GGP 0.868888
GHS 12.613956
GIP 0.868888
GMD 85.201694
GNF 10142.964899
GTQ 8.863969
GYD 242.099162
HKD 9.082199
HNL 30.628894
HRK 7.547552
HTG 151.809475
HUF 393.739159
IDR 19654.711213
ILS 3.60393
IMP 0.868888
INR 108.971952
IQD 1515.894754
IRR 1525001.44174
ISK 144.047519
JEP 0.868888
JMD 181.799371
JOD 0.82188
JPY 184.582853
KES 149.909481
KGS 101.364887
KHR 4623.983998
KMF 494.955743
KPW 1043.265709
KRW 1744.874492
KWD 0.35536
KYD 0.964297
KZT 556.328075
LAK 24848.914008
LBP 103633.441366
LKR 360.978751
LRD 211.759267
LSL 19.520632
LTL 3.422657
LVL 0.701156
LYD 7.407974
MAD 10.813063
MDL 20.15193
MGA 4824.983303
MKD 61.639787
MMK 2432.834089
MNT 4136.040892
MOP 9.340468
MRU 46.32084
MUR 53.912319
MVR 17.920835
MWK 2006.593056
MXN 20.746631
MYR 4.565921
MZN 74.073751
NAD 19.520632
NGN 1572.092184
NIO 42.579853
NOK 11.093021
NPR 173.089401
NZD 1.985179
OMR 0.445696
PAB 1.157196
PEN 4.000686
PGK 4.994983
PHP 69.723065
PKR 323.078682
PLN 4.282755
PYG 7557.973845
QAR 4.231485
RON 5.101986
RSD 117.449594
RUB 96.003268
RWF 1683.694173
SAR 4.352195
SBD 9.33305
SCR 15.877645
SDG 696.647132
SEK 10.831104
SGD 1.486609
SHP 0.86966
SLE 28.486057
SLL 24306.724357
SOS 661.297712
SRD 43.45349
STD 23991.981659
STN 24.499915
SVC 10.124965
SYP 128.330532
SZL 19.526932
THB 38.14522
TJS 11.114462
TMT 4.068602
TND 3.417588
TOP 2.790945
TRY 51.295112
TTD 7.850973
TWD 37.135217
TZS 3008.589588
UAH 50.693025
UGX 4373.984863
USD 1.159146
UYU 46.629839
UZS 14107.951178
VES 527.05282
VND 30499.449254
VUV 137.764445
WST 3.161931
XAF 655.95473
XAG 0.017051
XAU 0.000257
XCD 3.13265
XCG 2.085493
XDR 0.815797
XOF 655.95473
XPF 119.331742
YER 276.576393
ZAR 19.85325
ZMK 10433.709028
ZMW 22.593922
ZWL 373.244535
  • AEX

    -16.0300

    961.62

    -1.64%

  • BEL20

    -88.0900

    4916.79

    -1.76%

  • PX1

    -142.1000

    7665.62

    -1.82%

  • ISEQ

    -203.0200

    11881.24

    -1.68%

  • OSEBX

    -31.9800

    1966.5

    -1.6%

  • PSI20

    -190.5700

    8756.26

    -2.13%

  • ENTEC

    -5.8300

    1416.23

    -0.41%

  • BIOTK

    -27.8400

    3634.93

    -0.76%

  • N150

    -58.3500

    3755.58

    -1.53%

Un ver qui parasite les serpents découvert dans le cerveau d'une Australienne
Un ver qui parasite les serpents découvert dans le cerveau d'une Australienne / Photo: Handout - Université nationale australienne/AFP

Un ver qui parasite les serpents découvert dans le cerveau d'une Australienne

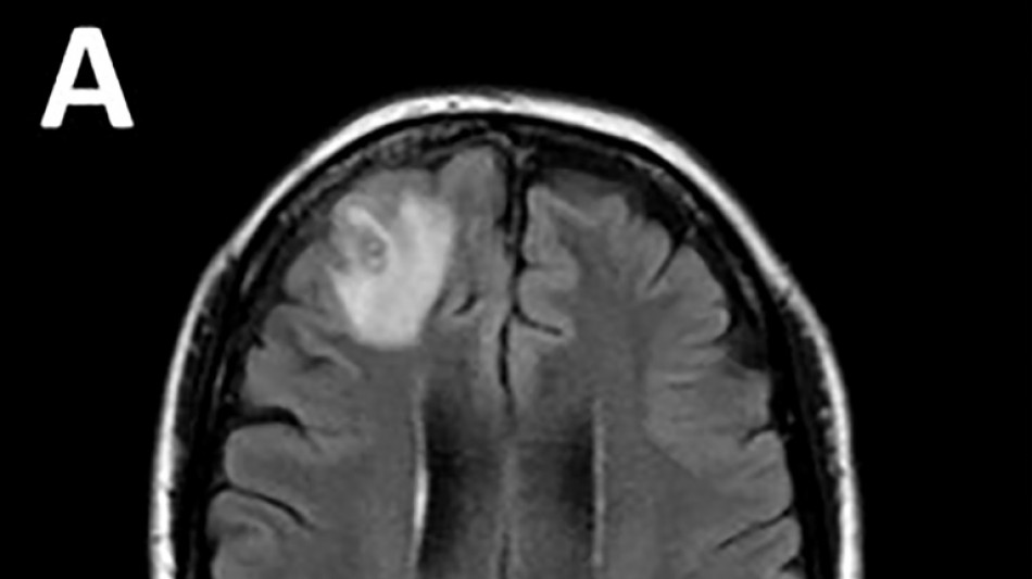
Un ver rond, qui parasite généralement les serpents, a été découvert pour la première fois sur un être humain, extrait "vivant et se tortillant" du cerveau d'une Australienne lors d'une intervention chirurgicale, ont annoncé mardi des médecins australiens.

Taille du texte:

Les médecins ont découvert une "lésion atypique", grâce à un examen IRM, dans la partie frontale du cerveau de l'Australienne, âgée de 64 ans, qui souffrait de pertes de mémoire.

Il s'agissait d'un Ophidascaris robertsi, un ver rond de huit centimètres qui, selon les chercheurs, est un parasite des kangourous et des pythons, en Australie. Il parasite des animaux dans d'autres régions du monde, mais il n'avait encore jamais été détecté sur un être humain.

"Il s'agit du tout premier cas humain d'Ophidascaris décrit dans le monde", a déclaré le docteur Sanjaya Senanayake, spécialiste des maladies infectieuses.

"À notre connaissance, c'est également le premier cas impliquant le cerveau d'une espèce de mammifère, humaine ou autre", a-t-il précisé.

Cette découverte a fait l'objet d'un article dans la revue "Emerging Infectious Diseases".

Les scientifiques pensent que l'Australienne a été parasitée par des plantes comestibles, probablement contaminées par des larves présentes dans des excréments de serpents.

Le parasite, dont la "structure en forme de fil" est apparue sur les scanners cérébraux, a ensuite été identifié grâce à des tests ADN.

"Il n'est jamais facile ni souhaitable d'être le premier à être malade de quoi que ce soit au monde", a ajouté le Dr Senanayake, "je ne saurais trop exprimer notre admiration pour cette femme, qui a fait preuve de patience et de courage tout au long de ce processus."

Selon le Dr Senanayake, il est "probable que d'autres cas soient identifiés à l'avenir".

M.Sugiyama--JT